Av. Escuinapa 394, Pedregal de Santo Domingo
Agenda tu cita 5556197757, 5553388301, 5554215697
Cirugía maxilofacial

Cirugía maxilofacial

Cirugía maxilofacial

¿Necesitas una extracción de muelas del juicio u otra pieza? ¿Presentas alguna malformación bucal? Existen algunos poblemas en nuestra boca que requieren intervenciones más drásticas, es cuando recurrimos a la cirugía oral y maxilofacial pues es una rama de la odontología que trata diversas enfermedades y otras necesidades como: la extracción de dientes, implantes, malformaciones en la boca, maxilares o cara, entre otros. En Clínica Integral Odontológica tenemos especialistas e instalaciones adecuadas para el ejercicio de la cirugía maxilofacial o bucal.

La Cirugía Oral y Maxilofacial ofrece alternativas de tratamiento médico y quirúrgico a diferentes problemas de salud, entre los que se encuentran:

  • Labio y paladar fisurados.
  • Desarmonías del desarrollo facial.
  • Traumatismos de la región oral y maxilofacial.
  • Alteraciones de la articulación témporomandibular.
  • Quistes y los tumores ontogénicos.
  • Infecciones de origen dental.
  • Cirugía Ortognática (maloclusión o problemas de mordida.)
  • Reducción y fijación de fracturas del esqueleto facial.
  • Uso de distractores osteogénicos.
  • Extracciones complejas o de terceros molares (muelas del juicio.)

Pero existen casos en los que la intervención sólo de un cirujano es insuficiente, pues se involucran los dientes y los huesos, en estos casos los cirujanos deben hacer mancuerna con otros especialistas para tratar estos problemas, no te preocupes, en Clínica Integral Odontológica contamos con otros especialistas que pueden solucionar problemas como: dientes incluidos (aquellos que no acaban de salir o que lo hacen fuera de su sitio); la colocación de implantes para prótesis fijas; la cirugía maxilofacial ortognática la cual soluciona junto con la ortodoncia problemas de «maloclusión» (una mala colocación de nuestros dientes que no permite que la dentadura encaje correctamente) o bien una mala posición o descompensación en cuanto al tamaño del maxilar superior y la mandíbula que generan un desequilibrio en el aspecto facial.

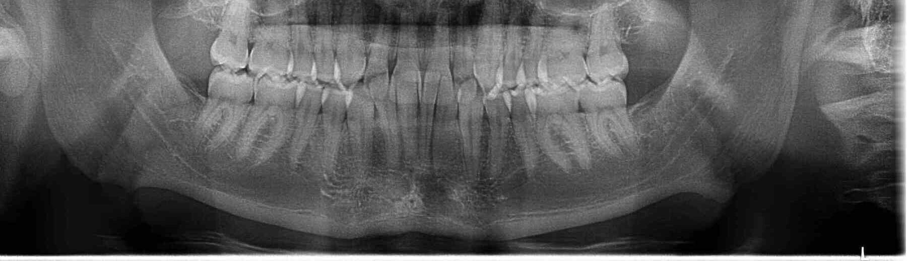
Extracción de terceros molares o “muelas del juicio”

Img

Es una realidad que aproximadamente el 80% de las personas deben extraer sus terceros molares, ya sea por falta de espacio en la boca o bien para prevenir infecciones debido a la mal posición de sus muelas, lo que puede provocar mucho dolor sin un tratamiento adecuado. Si crees que lo necesitas, acude con nosotros para realizarte una valoración y prevenir cualquier complicación.

En Clínica Integral Odontológica tenemos el equipo necesario para tomar tu radiografía panorámica y especialistas en cirugía maxilofacial altamente calificados para resolver tus dudas y de ser necesario extraer tu terceros molares con la mayor seguridad posible.

Agendar Cita